Forschungshighlights 2024

Ein Rückblick auf ein Forschungsjahr mit vielen Höhepunkten

20. Dezember 2024

Max-Planck-Wissenschaftlerinnen und Wissenschaftler haben 2024 viele hochkarätige Veröffentlichungen publiziert. Wir haben eine Auswahl getroffen und stellen Ihnen zwölf Highlights vor

Älteste Genome moderner Menschen entschlüsselt
Diese frühen Europäer gehörten zu einer kleinen, isolierten Gruppe, die kurz nach der Vermischung mit Neandertalern existierte, heute aber ausgestorben ist mehr
Die erste Nahaufnahme eines Sterns außerhalb unserer Galaxie
WOH G64 befindet sich in der Großen Magellanschen Wolke, über 160 000 Lichtjahre von uns entfernt, und ist ein sterbender Stern, der etwa 2000 Mal so groß wie die Sonne ist mehr
Auf dem Bild ist eine Hand zu sehen, die einen Antrag auf einen Organspendeausweis ausfüllt.
Länder, die die Widerspruchslösung eingeführt haben, weisen keine höhere Spendenbereitschaft auf mehr
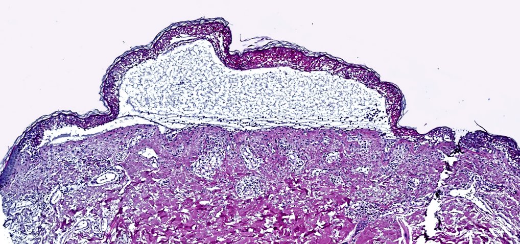
Neue Technologie rettet Leben von Patienten mit tödlicher Hautreaktion
Räumliche Proteomik liefert Therapieansatz für Patienten mit toxischer epidermaler Nekrolyse mehr
Wie die Psyche die Darmgesundheit beeinflusst
Ein Schaltkreis zwischen Gehirn und Darm beeinflusst die Darmflora und reguliert so das Immunsystem mehr
Zwei Personen stehen links von einem Versuchsaufbau, ein Stab, der an einer karusellartigen Vorrichtung angebracht ist
Das neu entwickelte Roboterbein ist inspiriert von Lebewesen und springt wendiger und energieeffizienter über verschiedene Oberflächen als bisherige Roboter mehr
Zwei Hände unten links und oben rechts mit blauen Gummihandschuhen. Die obere Hand hält einen stiftartigen Greifer, an dessen Kopf ein Probenröhrchen mit einer orangen Kappe hängt, das Blutplasma enthält. Die untere Hand hält einen Träger mit weiteren Probenröhrchen.
Mithilfe einer einzigen Infrarotlichtmessung und maschinellem Lernen lassen sich unter anderem Stoffwechselstörungen und Bluthochdruck erkennen mehr
Blick durch die Mitte zweier Autosschlangen, die sich in einer Richtung auf zwei Fahrbahnen stauen. Deutlich zu erkennen sind die Dampf beziehungsweise Abgasschwaden.
Eine Bilanz der Klimaeffekte von Stickstoffemissionen aus Dünger und fossilen Brennstoffen mehr
Blick von einer Brücke über eine Autobahn: Auf den beiden Fahrbahnen in Blickrichtung staut sicher Verkehr mit vielen LKW. In Gegenrichtung fahren ebenfalls einige LKW, aber auch PKW. In geringer Entfernung quert eine Straßenbrücke die Autobahn.
HyFiT-Kraftstoffe können den CO2-Fußabdruck des Schwerlastverkehrs verkleinern mehr
Ein Sumatra-Orang-Utan mit einer Wunde im Gesicht
Forschende weisen erstmals eine medizinische Wundbehandlung bei einem Wildtier nach mehr
Beethoven, im Hintergrund ein DNA-Strang
Eine Analyse des Erbguts des berühmten Komponisten hat ergeben, dass DNA-Daten die Fähigkeiten eines Menschen bislang zu ungenau erfassen mehr
eine große Familie verbringt eine schöne Zeit miteinander
Studie zeigt die Entwicklung von Verwandtschaftsstrukturen bis 2100 mehr
Zur Redakteursansicht